
В настоящее время в Первоуральске регистрируются единичные случаи пневмонии у детей, вызванные микоплазменной инфекцией. Все они – завозные.
Все заболевшие дети отдыхали в одном из лагерей на Черноморском побережье, в городе Анапа, где этим летом была зафиксирована вспышка микоплазменной инфекции. Все дети с выявленной микоплазменной пневмонией находятся под амбулаторным наблюдением.
Последняя активность микоплазмы была зафиксирована в Первоуральске в 2018 году. Также развитие пневмонии у детей может спровоцировать циркулирующая во внешней среде пневмококковая инфекция. Наиболее тяжело заболевание протекает у маленьких детей.
В симптоматике гриппа и ОРВИ все разбираются. А вот про микоплазменную пневмонию, которая периодически к нам наведывается, вообще мало кто знает.Это заболевание из группы атипичных пневмоний, вызываемое патогенным агентом – микоплазмой. Заболевание не новое, регистрируется в виде эпидемических вспышек с периодичностью один раз в 5 лет. Последняя вспышка пришлась на 2018 год, и Первоуральск здесь не стал исключением. Встречается преимущественно у детей, подростков и молодых пациентов до 35 лет, намного реже – в среднем и зрелом возрасте.
Атипичность пневмонии заключается в том, что не все привычные для пневмонии антибиотики могут воздействовать на вызывающие ее бактерии.
Еще одна проблема кроется в самой диагностике заболевания. Микоплазменная пневмония тихая, «молчаливая», может не проявлять себя долгое время –t обычно не поднимается выше 37,6, кашель сухой со сложно отделимой мокротой.
Её легко принять за ОРЗ с трахеитом или коклюш.Только опытный врач-педиатр при осмотре может услышать признаки дыхательной недостаточности, специфичные «не булькающие» хрипы и грамотно оценить эпидобстановку в окружении ребенка.
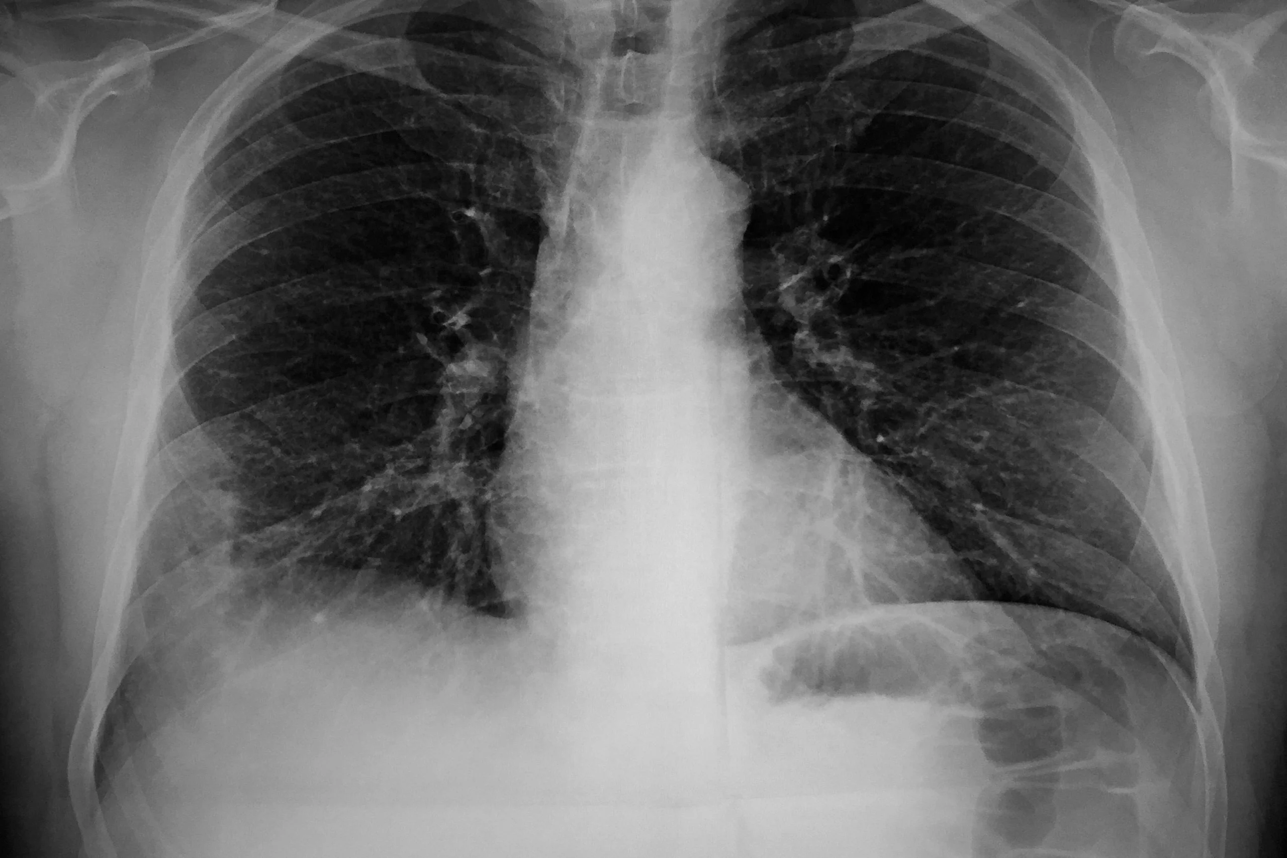
При подозрении на наличие микоплазменной пневмонии назначается рентген. Лечение проходит амбулаторно, госпитализация ребенка требуется в исключительных случаях. Обычно назначают антибиотики группы макролидов.
Советы детям и их родителям по профилактике микоплазменной пневмонии.
1. Мойте руки с мылом как можно чаще, особенно после кашля или чихания.
2. Прикрывайте рот и нос бумажной салфеткой во время кашля или чихания.
3. Занимайтесь физкультурой и спортом, почаще гуляйте на свежем воздухе.
4. Полноценно питайтесь, каждый день в рационе должны быть свежие овощи, фрукты, мясо, рыба, молоко и молочные продукты.
5. Чаще проветривайте и делайте влажную уборку в комнате.
6. В период подъема заболеваемости гриппом избегайте контакта с больными, соблюдайте респираторный этикет, то есть, носите маску в общественном транспорте и местах скопления людей.
С целью профилактики развития пневмококковой пневмонии разработана эффективная вакцина «Превенар 13», которую ставят детям начиная с двух месяцев по желанию родителей и на безвозмездной основе.