
На учёте у первоуральских онкологов состоят более 50 человек со всего Западного округа со злокачественными новообразованиями головного мозга, из них 38 – под наблюдением врачей более 5 лет. Проходят химиотерапию в горбольнице на сегодня 4 пациента.
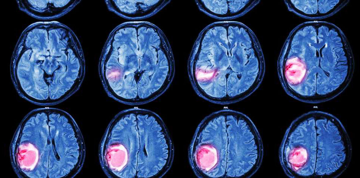
Рак мозга – злокачественная опухоль в области головного мозга. Различают около 130 видов опухолей данного органа. Одной из причин заболевания может быть стресс и недосыпание.
Развитие рака головного мозга может быть обусловлено разнообразными причинами: наследственность, радиоактивное облучение, токсическое воздействие ртути или свинца, травмы головы, вредные привычки, повышенное артериальное давление, частые или сильные стрессы, недосыпание и постоянное переутомление.
Чаще всего опухоли головного мозга диагностируют у людей старше 45-50 лет.
Стресс может стать причиной развития онкологии – рака головного мозга.
Расслабления, медитативные практики, занятия йогой помогут в борьбе со стрессом, а значит, позволит избежать и многих причин стресса